浅谈乳腺钼靶中的钙化

▎本期科普作者🥼放射科 主治医师 周依
当今社会人们对健康越来越重视,越来越多的女性已经开始关注自身的乳腺健康,并从中获益。很多女性朋友在做完乳腺钼靶检查后,在影像报告单中经常可以看到“钙化”,那么钙化是什么意思?是良性还是恶性?下一步应该怎么办?今天我们就来聊聊乳腺钼靶中的钙化。
一、什么是钙化?
放射诊断报告中的“钙化”是指在影像学检查(如X线、CT等)中发现的钙盐在人体组织或器官内的沉积现象。如骨骼随年龄增长出现骨质增生、动脉血管壁钙化等,是人体自然老化过程中的现象,无需特殊治疗,定期复查观察其变化即可。少数钙化可能提示恶性肿瘤、感染或其他严重疾病,需结合患者年龄、病史、症状及进一步检查以明确诊断。乳腺钼靶片上的“钙化”是指在乳腺钼靶检查中发现的乳腺组织内钙盐沉积的现象,在乳腺X线钼靶上表现为高密度影(“白点”)。
二、乳腺钼靶钙化是良性还是恶性?
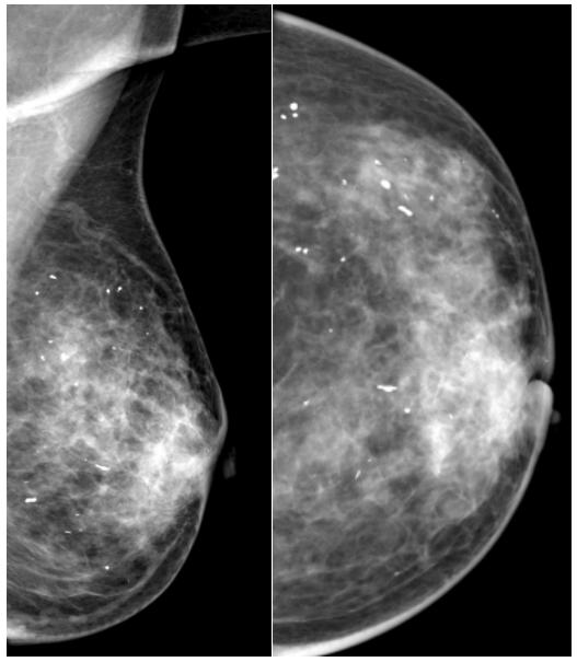
乳腺的良性钙化约占乳腺钙化的80%,恶性钙化常见于乳腺癌或其它肿瘤,约占乳腺钙化的20%。约30%-50%的乳腺癌患者在钼靶片上可显示微小的钙化。影像学主要从两个方面对乳腺钙化进行分析,即:钙化的形态和钙化的分布。良性钙化的“白点”往往表现为粗大的颗粒状(个头比较大,大“白点”)、边缘清楚、形状规则(圆形、卵圆形等),且呈散在分布。恶性钙化的“白点”往往表现为细小砂砾样(个头比较小,小“白点”)、边界模糊、形状不规则,呈一堆堆或一簇簇、一条条状的分布。
乳腺炎的良性钙化:粗大的颗粒状钙化,边界清晰,形状规则,呈散在分布。
乳腺恶性肿块(乳腺癌)伴恶性钙化X线表现:肿块(↑)部分边缘不清,密度较高,肿块内可见细小砂粒状钙化(左上角局部放大图显示钙化更清晰),局部皮下脂肪层混浊,皮肤增厚。
三、乳腺钼靶发现“钙化”,下一步该怎么办?
通常情况下乳腺的钙化一旦形成,一般不会消失。乳腺的钙化大部分是良性的,无需过分担忧,定期复查随访即可。但对于有恶性征象的钙化应予以足够的重视,需尽快到乳腺专科进行乳腺的全面检查,必要时行活检以确定病变的性质。所以乳腺钼靶发现“钙化”后不必过度恐慌,应及时与医生沟通,遵循专业建议进行进一步检查或随访观察。
一审:周依
二审:刘笑春
三审:李长波



