别让“肺结节”成为你的“心结”→



▎本期科普作者🥼

看看下面说的是不是你:
30岁往上走的年龄
明知抽烟、喝酒不好
却害怕生病
也害怕体检
脂肪肝、高血脂、肺结节
似乎特别常见

肺结节
!!!
是肺癌吗
今天胸外科王晓龙医生就来和大家仔细聊聊
让大家忧虑的“肺结节”


肺结节,影像学表现为长径≤3 cm的局灶性、类圆形、密度增高的实性或亚实性肺部阴影,可为孤立性或多发性,不伴肺不张、肺门淋巴结肿大和胸腔积液。


小于5mm的被称为微小结节,绝大部分是良性的;5-10mm的被称为小结节,需进一步评估及随访;当结节大于10mm的时候,恶性几率有所增高,要及时进一步检査诊断。

要分清是纯磨玻璃样肺结节、混合性磨玻璃样肺结节、还是实性肺结节。磨玻璃样肺结节的早期肺癌概率高于实性肺结节,混杂磨玻璃结节肿瘤概率高于纯磨玻璃结节。

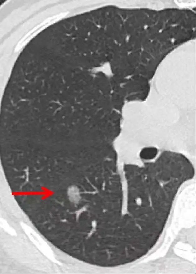
图1
图2 |
图3 |
有时还通过钙化形态判断结节性质,有4种良性钙化类型,分别为中央型、弥漫型、层状和爆米花样(图1)。中央型、弥漫型和层状钙化常见于有既往感染时,特别是组织胞浆菌病或结核病。爆米花样钙化是错构瘤(良性)中软骨样钙化的特征性表现(图2)。边缘光滑的结节内存在脂肪(CT值为-40至-120Hu)是肺错构瘤的可靠指标(图3)。
实性结节的生长速度是指直径增加2mm,对于亚实性结节可通过实性成分出现或增大来确定生长。大部分恶性结节的倍增时间为20-400天,典型类癌和浸润前病变(AIS和MIA)的倍增时间更长(>400)。因此,短期内(<20天)体积增大的结节或CT显示长期(>2年)保持稳定的结节很可能是良性病变。
需要跟大家强调的是,通过影像学检查可以大致推断肺结节的良恶性及其可能的原因,但并不能够100%确诊, 还需要专科医生结合临床表现 、 病理检查等 ,综合判断后方可诊断。
最后想要说,即使体检时发现肺结节,不要慌,埋伏他一手,定期随访,不好了咱再手术治疗,一点都不耽误事!
参考文献:
Ost D, Fein AM, Feinsilver SH. Clinical practice. The solitary pulmonary nodule. N Engl J Med 2003; 348:2535.
Midthun DE, Swensen SJ, Jett JR. Approach to the solitary pulmonary nodule. Mayo Clin Proc 1993; 68:378.
Williams DE, Pairolero PC, Davis CS, et al. Survival of patients surgically treated for stage I lung cancer. J Thorac Cardiovasc Surg 1981; 82:70.
Ost D, Fein A. Evaluation and management of the solitary pulmonary nodule. Am J Respir Crit Care Med 2000; 162:782.
Song YS, Park CM, Park SJ, et al. Volume and mass doubling times of persistent pulmonary subsolid nodules detected in patients without known malignancy. Radiology 2014; 273:276.
Thalanayar PM, Altintas N, Weissfeld JL, et al. Indolent, Potentially Inconsequential Lung Cancers in the Pittsburgh Lung Screening Study. Ann Am Thorac Soc 2015; 12:1193.
医学科普 仅供参考

▎策划制作📚
文中图片来源于网络,侵权立删
本文编辑:杨昕昕
图文校验:陈聪 周利利
责编:吴行

▎关注我们🔍









