关于智齿,你不知道的那些事儿




▎本期科普作者🥼


在日常生活中,相信很多人都有被智齿支配的恐惧
它们体积虽小,但身形各异
一旦它来“刷存在感”,就会让人“痛苦万分“
今天我们就来浅聊一下关于智齿的那些事儿


通常情况下,它们的作用是增加双侧后牙的咀嚼力量,在进食时提高研磨效率。可是,随着人类社会的发展和食物的过度加工、精细化,以及人们对审美追求的改变,宽大的下颌骨、方正的下巴曲线和粗大的咬肌线条已经逐步退出历史舞台;而我们牙齿的基因还尚未学会自动退化,仍会在固定的时间相继萌出,这样就会出现牙齿不齐、牙痛、牙龈红肿、颌面炎症甚至引发颌骨病变等相关问题。

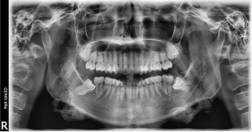
一、智齿个头可大可小。通常智齿和第一磨牙、第二磨牙的大小相当或者更小,总体与自身牙列比例协调。有时会呈现过小牙,牙冠短小圆滑,牙根锥形,实则为一种牙齿畸形的表现。
|
|
二、萌出和生长的数量可多可少。临床上最常见到的是双侧下颌智齿萌出和发育,上颌可有可无,拍片发现上颌先天缺如的情况不在少数。当然也有四个智齿全部先天缺失、或者某一侧智齿先天缺失的情况。所以智齿生长的数量是0-4颗不等。




三、智齿位置可高可低。先天基因决定的宽下颌,以及后天养成的大力咀嚼习惯(例如喜硬食),有可能获得一口32颗排列整齐的牙齿。但目前看来,人群中因智齿阻生造成的牙列拥挤、前牙龋坏、颌骨或淋巴炎症等比比皆是。阻生,就是各种原因导致的生长方向、生长路径受阻,如低位、斜位、水平位甚至倒立位,不能到达正常的咬合平面,从而无法行使应有的咀嚼功能。智齿显然已成为口腔健康的一大潜在杀手。



答案显然不是的。只要是正位萌出、没有龋坏的智齿,是完全可以保留的,只需好好刷牙,维护好口腔卫生,定期到口腔门诊检查即可。但是,一旦发现下列情况,需要尽快就医:
1、智齿在口腔内只萌出一部分,周围的牙龈又红又肿,一咬就疼,甚至流脓流血伴有口腔异味;
2、智齿长期塞牙,每次吃饭都会嵌塞食物,吃冷热酸甜引起后牙酸痛不适;
3、莫名的智齿松动、咬合无力感,或者下巴、下唇周围麻木、疼痛等 ;
4、颈部淋巴结肿痛、张口困难、咀嚼或吞咽疼痛、合并发烧、寒颤、乏力等全身症状等。
屏幕前的小伙伴们,快去照照镜子,看看自己有没有长智齿吧。一旦发现异常情况,记得到正规医疗机构就诊哦!
医学科普 仅供参考

▎策划制作📚
文中图片来源于网络,侵权立删
编辑:杨昕昕 朱萌萌
校验:陈聪 朱恒均
责编:吴行

▎关注我们🔍








